

ΑΙΣΘΗΤΙΚΗΣ ΟΔΟΝΤΙΑΤΡΙΚΗΣ
Τα πεντακάθαρα φωτεινά δόντια, σάς δίνουν επιπλέον αυτοπεποίθηση. Αλλά η ζωή αφήνει τα ίχνη της στα δόντια: ρωγμές, αποχρωματισμός ή κακή θέση των δοντιών. Εδώ, μπορούν να διορθωθούν μικρές και σημαντικές οδοντικές ατέλειες και να κάνουν δυνατό ένα λαμπερό χαμόγελο.
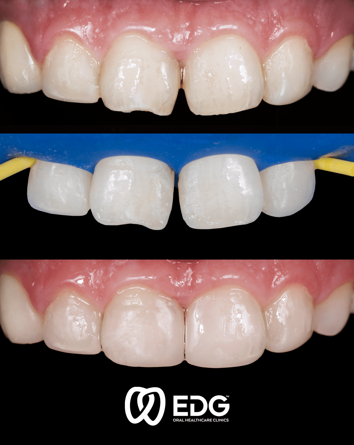
Τα υγιή, όμορφα δόντια κάνουν το πρόσωπο ελκυστικό και αποτελούν απόδειξη σθένος, υγείας – και επιτυχίας. Μελέτες δείχνουν ότι τα άτομα με λευκά δόντια είναι πιο επιτυχημένα επαγγελματικά και ιδιωτικά. Στην EDG, προσφέρουμε συνεπώς στους ασθενείς μας πολύ περισσότερα από τη θεραπεία πόνου, ασθενών δοντιών. Οι άρτια εκπαιδευμένοι οδοντίατροι μας στοχεύουν να εξασφαλίσουν άψογη και φωτεινή οδοντική εμφάνιση των ασθενών τους. Η γκάμα θεραπείας μας εκτείνεται από την απλή λεύκανση των δοντιών έως τα απλά γεμίσματα ρητίνης. Τα ήδη υπάρχοντα ακατάλληλα και αποχρωματισμένα πλαστικά γεμίσματα ή οι τραυματισμένες βλάβες μπορούν να αντιμετωπιστούν με εξαιρετικά αισθητικά νανο-υβριδικά σύνθετα υλικά. Για πιο εκτεταμένα ελαττώματα στην οπίσθια περιοχή, τα ένθετα μπορούν να κατασκευαστούν από κεραμικά ή, προαιρετικά από χρυσό, με ένα καλά αποδεδειγμένο ρεκόρ ως ένα εξαιρετικό υλικό αποκατάστασης παρά τα αισθητικά μειονεκτήματά του. Για την αποκατάσταση μεγαλύτερων ελαττωμάτων, όλα τα κεραμικά αποτελούν σήμερα το υλικό επιλογής λόγω των εξαιρετικών αισθητικών ιδιοτήτων, της φυσικής εμφάνισης και της μακροχρόνιας ποιότητάς τους. Ελαφροί αποχρωματισμοί, κενά μεταξύ των δοντιών και μεγάλες σπασμένες γωνίες μπορούν να διορθωθούν με καπλαμά. Τα δόντια που έχουν υποστεί αγωγή με ριζικό σωλήνα και τα δόντια έσπασαν μετά από ένα τραύμα που δεν χρειάζεται πλέον να αφαιρεθούν. Με τη βοήθεια των ριζικών αναρτήσεων και των πυρήνων, δεν μπορούν απλώς να αποκατασταθούν λειτουργικά ξανά, αλλά και με εξαιρετικά αισθητικό τρόπο. Η θεραπεία ξεκινά πάντα με εκτεταμένη εξέταση και συμβουλευτική για να ενσωματώσει τις απαιτήσεις και τις επιθυμίες του κάθε ασθενούς στο σχέδιο θεραπείας.

Εύρος υπηρεσιών
Τα δόντια είναι συχνά καθοριστικά για μια πρώτη εντύπωση. Ένα σίγουρο χαμόγελο με υγιή, λευκά δόντια φαίνεται ελκυστικό και ελκυστικό. Στην Ειδική Κλινική, σας προσφέρουμε όλες τις επιλογές σύγχρονης αισθητικής οδοντιατρικής για να αφήσετε τα δόντια σας να λάμψουν ξανά.











