

ΕΝΔΟΔΟΝΤΙΚΗΣ
Η σύγχρονη θεραπεία του ριζικού καναλιού με μικροσκόπιο έχει αλλάξει τα τελευταία χρόνια από μια απλή προσπάθεια να σωθεί το δόντι σε μια μέθοδο έγκαιρης θεραπείας με πολύ υψηλό ποσοστό επιτυχίας. Μια πιθανή πρόωρη απώλεια δοντιών μπορεί τώρα να αποφευχθεί με επιτυχία.
Στο Ειδικό Τμήμα Ενδοδοντικής, αντιμετωπίζουμε τους ασθενείς μας στο υψηλότερο επαγγελματικό και διαγνωστικό επίπεδο. Οι μονάδες θεραπείας μας είναι εξοπλισμένες με τα πιο σύγχρονα χειρουργικά μικροσκόπια, τα οποία υποστηρίζουν μια λεπτομερή αναπαράσταση και προετοιμασία ρίζας και προσφέρουν ένα εντελώς νέο επίπεδο ακρίβειας. Ο νεότερος ενδοδοντικός εξοπλισμός, όργανα και υλικά πλήρωσης χρησιμοποιούνται. Με αυτόν τον τρόπο μπορούμε να διατηρήσουμε τη θεραπεία όσο το δυνατόν συντομότερη, ακόμη και σε περίπλοκες περιπτώσεις, και να αποφύγουμε την απώλεια δοντιών.
Περισσότερες πληροφορίες για
Εύρος υπηρεσιών
Θέλουμε να διατηρήσουμε τα δόντια σας και να αφιερώσουμε το χρόνο που χρειαζόμαστε.
Σε περίπτωση ανανέωσης της θεραπείας του ριζικού καναλιού (αναθεώρηση) παλιά γεμίσματα ρίζας που δεν ήταν επιτυχημένα και ως εκ τούτου ήταν η αιτία φλεγμονών και πόνου, μπορούν να αφαιρεθούν και να ανανεωθούν εξειδικευμένα. Αυτή η θεραπεία εξαλείφει τις φλεγμονές στην περιοχή της ρίζας και καθίσταται δυνατή η πλήρης ανάρρωση.
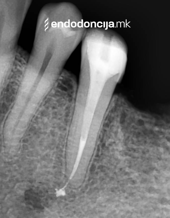
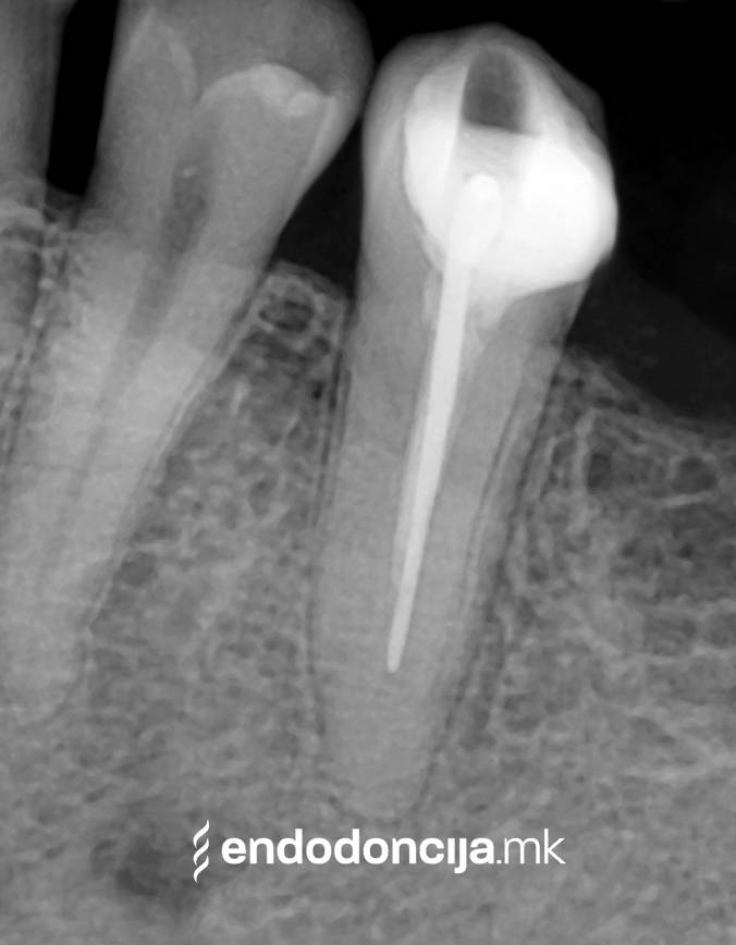
Εκτός από την ανίχνευση των ριζικών καναλιών, η ενδελεχής προετοιμασία και η απολύμανση του ριζικού σωλήνα είναι η προϋπόθεση για μια επιτυχημένη συνολική θεραπεία. Μέσω της χρήσης των νεότερων οργάνων και αντιβακτηριακών διαλυμάτων, όλα τα υπολείμματα ιστών και τα βακτήρια που υπάρχουν μπορούν να εξαλειφθούν.
Κατά τη διάρκεια της επεξεργασίας του ριζικού σωλήνα, τα λεπτά όργανα ενδέχεται να σπάσουν. Αυτό μπορεί να αποτελέσει εμπόδιο για την πλήρη προετοιμασία και τον καθαρισμό του ριζικού σωλήνα. Με μια μικροσκοπική επεξεργασία του ριζικού σωλήνα μπορεί να είναι δυνατή η απομάκρυνσή τους υπό ορισμένες συνθήκες, χωρίς να καταστρέφεται η ουσία των δοντιών.
Κατά τη διάρκεια προηγούμενων θεραπειών, το δόντι μπορεί όχι μόνο να έχει αποδυναμωθεί από τη μηχανική επεξεργασία του ριζικού σωλήνα αλλά και από τη στερέωση και την αγκύρωση ενός ρίζα. Όταν αναθεωρείται η επεξεργασία ενός ριζικού καναλιού, αυτοί οι πείροι πρέπει να αφαιρούνται όσο το δυνατόν πιο προσεκτικά για να διατηρούν σημαντική ουσία των δοντιών.
Με τη σωστή θεραπεία, όχι μόνο οι οξείες φλεγμονές αλλά και οι χρόνιες μπορούν επίσης να αντιμετωπιστούν με επιτυχία. Αυτά μπορεί να προκαλέσουν πόνο ή μερικές φορές ακόμη και εντελώς χωρίς συμπτώματα. Η έγκαιρη ανίχνευση και εξάλειψη τέτοιων φλεγμονών είναι ζωτικής σημασίας για τη μακροχρόνια συντήρηση των δοντιών.
Οι υπηρεσίες του Ειδικού Τμήματος Ενδοδοντικής δεν περιορίζονται καθόλου στη συμβατική επεξεργασία ριζικών καναλιών. Αντιμετωπίζουμε αποκλειστικά τους ασθενείς μας με τα νεότερα υλικά και όργανα με μικροσκόπιο, προκειμένου να είμαστε σε θέση να καθαρίσουμε εντελώς και να προετοιμάσουμε όλα τα κανάλια πριν τα γεμίσουμε.
Περισσότερες πληροφορίες για endodoncija.mk

















































































