

ΣΥΝΤΗΡΗΤΙΚΗΣ ΟΔΟΝΤΙΑΤΡΙΚΗΣ & ΠΕΡΙΟΔΟΝΤΟΛΟΓΙΑΣ
Στόχος του Τμήματος Συντηρητικής Οδοντιατρικής & Περιοδοντολογίας είναι η διατήρηση της υγιούς οδοντικής ουσίας όσο το δυνατόν περισσότερο με τη βοήθεια των νεότερων πληροφοριών από την οδοντιατρική. Αφαιρούμε το υλικό των δοντιών που μπορεί να επηρεαστεί από τερηδόνα και εφαρμόζουμε υλικά πλήρωσης με δόντια, όπως σύνθετα υλικά, στις πληγείσες περιοχές. Γεμίζουμε μεγαλύτερα κενά με ένθετα, επικαλύψεις, κορώνες ή γέφυρες, που παράγονται από το εσωτερικό οδοντιατρικό εργαστήριό μας. Αυτές οι αποκαταστάσεις συμμορφώνονται με τα ισχύοντα διεθνή πρότυπα και είναι σχεδόν αόρατες. Τα υγιή δόντια χρειάζονται επίσης υγιή αγκύρωση στην οδοντοστοιχία. Το Τμήμα Περιοδοντολογίας μας είναι το σημείο επαφής για όλους εκείνους που έχουν προβλήματα με το περιοδόντιο. Οι ειδικοί μας στην περιοδοντολογία παρέχουν εκτεταμένη συντηρητική και χειρουργική περιοδοντική θεραπεία σύμφωνα με τα νεότερα διεθνή πρότυπα.
Εύρος Υπηρεσιών για Συντηρητική Οδοντιατρική
Για τη θεραπεία και φροντίδα ασθενών δοντιών, χρησιμοποιούμε σύγχρονες, συντηρητικές μεθόδους που διατηρούν όσο το δυνατόν περισσότερο την ουσία των δοντιών και διατηρούν την αισθητική της οδοντοστοιχίας.
Εύρος υπηρεσιών για Περιοδοντολογία και Προφύλαξη
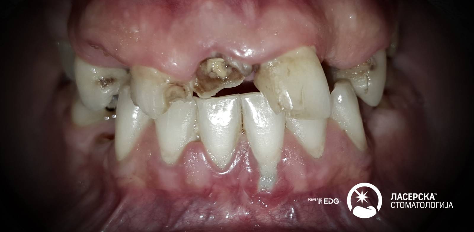
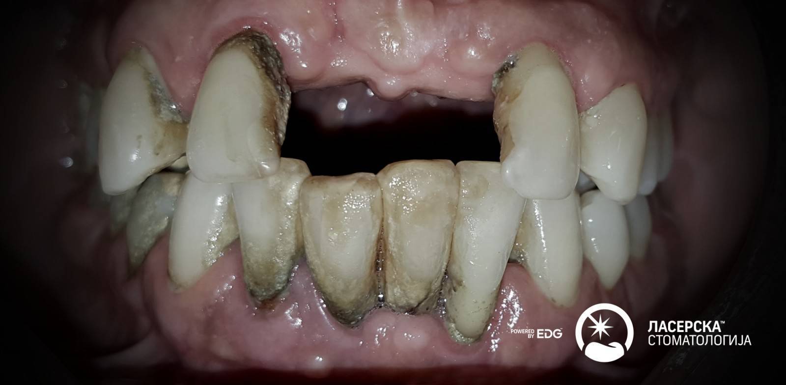
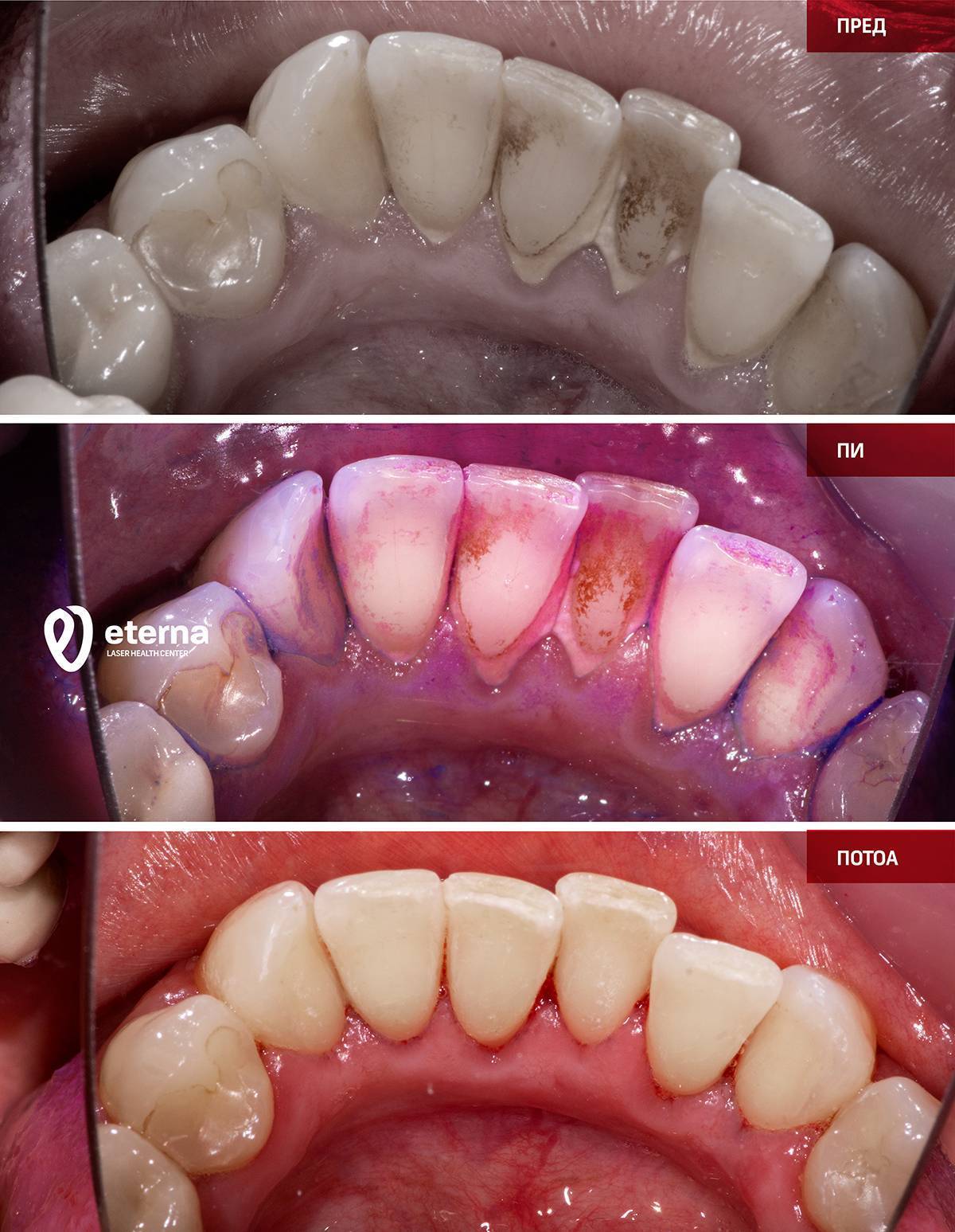
Τα ούλα που αιμορραγούν, οι περιοδοντικοί θύλακες, τα οίδημα ή τα υποχωρούντα ούλα, καθώς και η αλάτωση, αποτελούν ένδειξη για ασθένειες του περιοδοντίου. Αυτές οι ασθένειες μπορούν να αντιμετωπιστούν από την εξειδικευμένη ομάδα μας, που σχηματίστηκε από την EDG και την Eterna LHC στο Γευγελή και τα Σκόπια, ακόμη και σε εξαιρετικά σοβαρές περιπτώσεις.





























