

ΨΗΦΙΑΚΗΣ ΑΚΤΙΝΟΓΡΑΦΙΑΣ 2D ΚΑΙ 3D CBCT
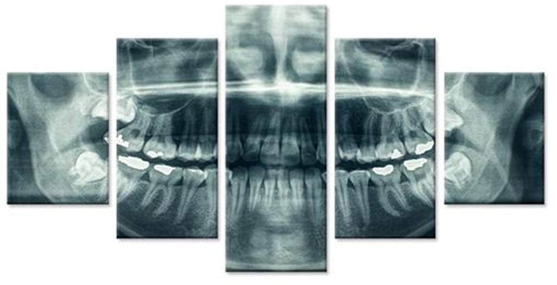
Για μια ακριβή διάγνωση και στοχευμένη θεραπεία είναι απαραίτητο να κοιτάξετε μέσα στο δόντι. Το Τμήμα Ψηφιακής Ακτινογραφίας 2D και 3D CBCT προσφέρει ένα ευρύ φάσμα επιλογών για το σκοπό αυτό.
Μέσα από τις ερευνητικές μας δραστηριότητες, η ομάδα μας είναι εξοικειωμένη με τα νεότερα επιστημονικά ευρήματα και μπορεί να ανταποκριθεί στις υψηλότερες τεχνολογικές και επαγγελματικές προσδοκίες. Για εξετάσεις και εκτιμήσεις, έχουμε ένα ευρύ φάσμα επιλογών. Χρησιμοποιούμε διάφορες μεθόδους απεικόνισης, όπως ακτινογραφία προβολής, τομογραφία και τομογραφία υπολογιστή, και επίσης πραγματοποιούμε παρεμβάσεις. Ως ακαδημαϊκό ίδρυμα AADE, η εστίασή μας έγκειται στη μελέτη οδοντιατρικών, στοματικών και γνάθων καθώς και στη διδασκαλία.

Εύρος υπηρεσιών
Χρησιμοποιούμε τη νεότερη τεχνολογία για να επιτρέψουμε μια ακριβή θεραπεία για τους ασθενείς μας μέσω μεθόδων απεικόνισης.





